Пн-Пт: 09:00 — 21:00
Сб: по предв записи,
Вс: выходной
Уфа, ул. Коммунистическая 98/1
Позвонить: +79174333330
Пн-Пт: 09:00 — 21:00 Сб: 09:00 — 18:00
г. Уфа, ул. Коммунистическая, д. 98/1



Ибрагимова Инна Фагимовна
стоматолог-ортопед,
терапевт, гнатолог
Врач 1 категории
преподаватель БГМУ на кафедре ортопедической стоматологии
Давлетгараев Ильнур Халилович
стоматолог-хирург
стоматолог-имплантолог
Стаж работы 14 лет

Туктарова Ирина Александровна
Стоматолог-терапевт
Стаж работы: 22 года
Диагностика и лечение заболеваний зубов и дёсен
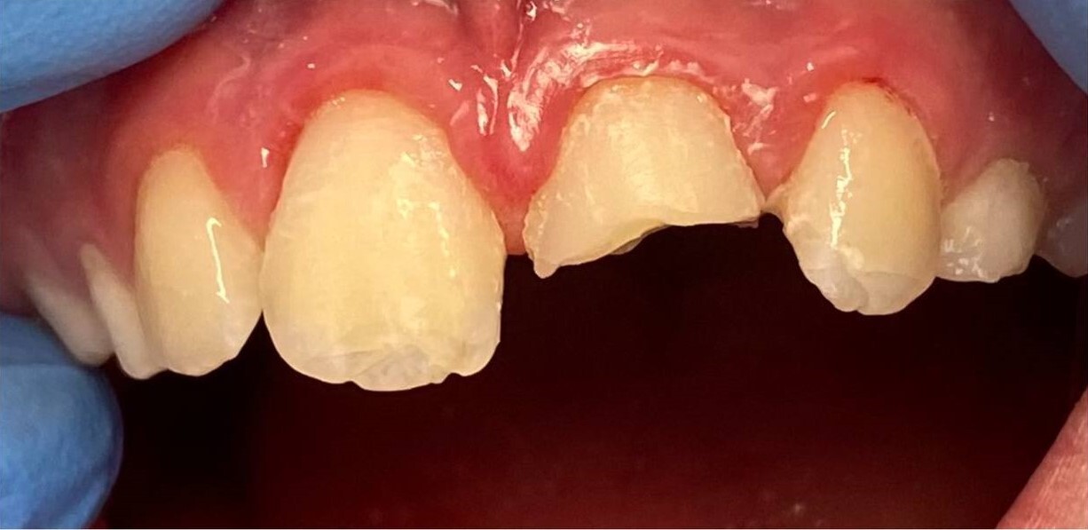
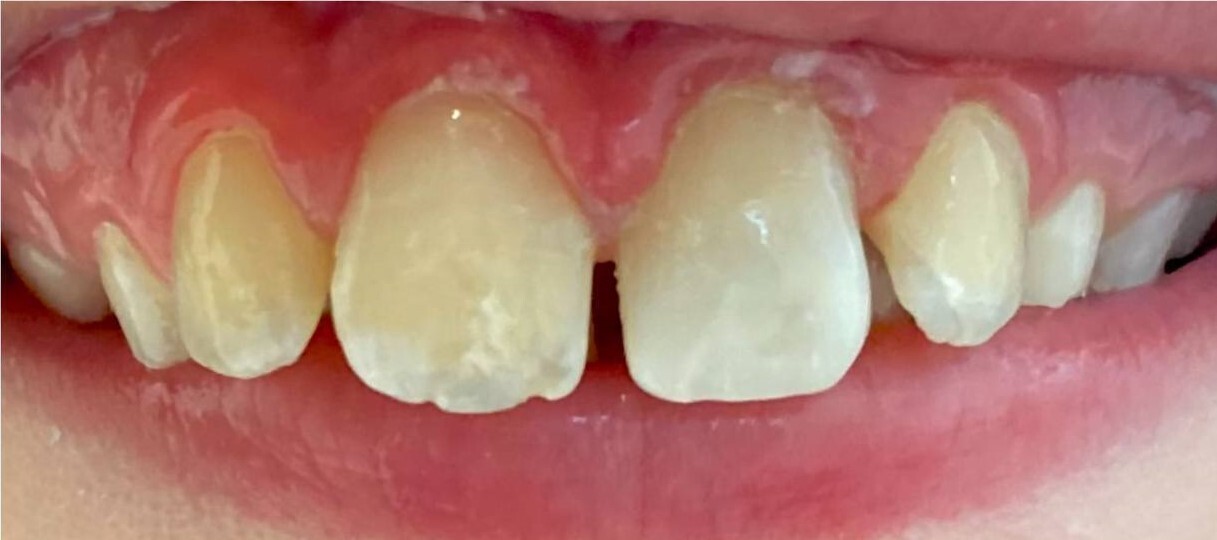
Лучше всего о мастерстве врачей расскажет портфолио. Посмотрите примеры работ и оцените результат. Ваши здоровые улыбки — наша работа!
Заявка








Опыт наших врачей более 10-ти лет
Тёплое отношение к пациентам как «к своим», умение слушать и слышать
Умная стоматология в Уфе с прозрачным ценообразованием без навязывания лишних услуг
Передовое оборудование и европейские технологии
Заголовок окна

ВРАЧИ С ОПЫТОМ БОЛЕЕ 30 ЛЕТ
У нас работают первоклассные врачи всех стоматологических специальностей, и вы можете обратиться к нам с любым, даже самым сложным клиническим случаем
ДЕЛИМСЯ ЗНАНИЯМИ НА КОНФЕРЕНЦИЯХ
Часто выступаем спикерами на стоматологических форумах и обмениваемся знаниями с коллегами
ПОМОГАЕМ В СЛОЖНЫХ СЛУЧАЯХ
Решаем сложные проблемы комплексно, оптимальное решение и план лечения разрабатывают сразу несколько специалистов
Пн-Пт: 09:00 — 21:00
Сб: по предв записи,
Вс: выходной
Политика конфиденциальности
Редактируемый текст
Данный сайт использует Cookie
Используя наш сайт, вы даете согласие на обработку файлов cookie и пользовательских данных. Это происходит автоматически системами статистики для улучшения качества обслуживания.
